Por el Dr. Enrique Mascarós Balaguer
La varicela es una enfermedad vírica muy contagiosa causada por el virus de la varicela-zóster. Es generalmente leve, pero puede ser grave en lactantes menores de 12 meses de edad, adolescentes, adultos, mujeres embarazadas y personas con sistemas inmunitarios debilitados.
La varicela causa una erupción cutánea acompañada de picor que generalmente dura alrededor de una semana. También puede causar síntomas muy inespecíficos como son fiebre, cansancio, pérdida del apetito, dolor de cabeza.

Imagen 1. Lesiones cutáneas típicas de la varicela
Algunas personas incluso pueden requerir ingreso en hospital. Las complicaciones más graves pueden incluir infecciones cutáneas, neumonía, vasculitis, encefalitis o meningitis e infecciones en el torrente sanguíneo, los huesos o las articulaciones. Es poco frecuente, pero las personas pueden morir de varicela.La varicela se puede contagiar fácilmente de una persona infectada a cualquiera que no la haya tenido o no haya recibido la vacuna contra la varicela.
En cuanto a la neumonía por varicela se puede afirmar que es la complicación más frecuente en adultos jóvenes inmunocompetentes, con intervalo de edad entre 30 y 50 años, con una incidencia de 1 a 400 casos, aumentando considerablemente en pacientes inmunodeprimidos. Además de la inmunosupresión se han descrito factores de riesgo asociados a la misma como el hábito tabáquico, sexo masculino y el embarazo (tercer trimestre) 1 .
La neumonía varicelosa suele presentar un curso insidioso con desarrollo de un cuadro de disnea, tos y dolor torácico entre 1 a 6 días después de la aparición de las lesiones cutáneas 2 pero tenemos que tener en cuenta que su clínica puede ser también poco sintomática. Sin embargo puede llegar a comprometer en determinadas situaciones la vida del paciente por fracaso respiratorio. Presenta una tasa de mortalidad entre el 10% y el 30% 3,4 .
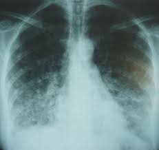
Los hallazgos de la radiología de tórax muestran típicamente un patrón intersticial bilateral, con predominio en bases y/o región perihiliar, aunque no es raro el patrón alveolar, pudiendo objetivarse en fases tempranas un componente nodular/ micronodular (2-10 mm) que puede llegar a presentar calcificaciones. Hay estudios 5 que recomiendan realizar una radiografía de tórax en todo paciente con varicela, independientemente de la presencia o no de clínica respiratoria, ya que la radiología de tórax presentó hallazgos aun no existiendo clínica respiratoria en el 33,3% de los pacientes.

Imagen 2. Radiografía de una neumonía por varicela
El tratamiento de elección para la neumonía por varicela es el aciclovir intravenoso a dosis de 10 a 15 mg/kg cada 8 horas durante 7-10 días. Su pronta administración se ha asociado con mejoría clínica (desaparición de fiebre y taquipnea), mejor oxigenación de la sangre y una rápida resolución de la neumonía 5-7 . No obstante, diversos autores cuestionan este último punto al no haberse realizado ningún ensayo controlado que demuestre cambios en la tasa de mortalidad de esta enfermedad, a pesar de la administración temprana del fármaco.
En los casos donde se produzca un fracaso respiratorio9 será preciso asociar medidas de soporte ventilatorio, ya sea mediante ventilación invasiva o no invasiva en Unidades de Cuidados Intensivos. La asociación de corticoides al tratamiento de esta entidad es un aspecto muy controvertido y poco revisado, no existiendo hasta la fecha ningún estudio aleatorizado. En el registro de Mer et al 10, estudio sobre 15 pacientes ingresados en Unidad de Vigilancia Intensiva (UVI), 6 de los cuales fueron tratados con corticoides, se observó un menor tiempo de estancia en cuidados intensivos en los pacientes tratados con esteroides, diferencias estadísticas expresadas en medianas. Su efecto podría explicarse al inducir estos fármacos una importante reducción de la respuesta inflamatoria que el virus genera sobre el parénquima pulmonar. Mas recientemente11 se ha observado como en neumonías graves por varicela los corticoides aceleran la recuperación fisiológica y pueden acortar la duración de la ventilación mecánica.
Antes de tratar debemos tener en cuenta que a día de hoy la varicela es una enfermedad prevenible si se administra la vacuna frente a esta enfermedad. Esta vacuna se inyecta por vía subcutánea. En los calendarios oficiales españoles la primera dosis se pone a los 15 meses y la segunda a los 3-4 años. No obstante, puede administrarse desde los 12 meses de edad y con un intervalo mínimo con la 2.ª dosis de al menos, 1-3 meses. Si no se ha administrado antes ni se ha pasado la enfermedad, a los 12 años se ofrece la vacunación, también con 2 dosis, separadas al menos 1 mes.
Los CDC sobre la prevención de la varicela establece que en todos los adultos sanos debería evaluarse la inmunidad frente a varicela 11, y en caso de no existir evidencia de inmunidad deberían recibir 2 dosis de 0,5 ml de vacuna contra la varicela separadas al menos 4 semanas. Únicamente tenemos que tener en cuenta que esta vacuna esta contraindicada en alérgicos algún componente de la vacuna, en el embarazo, en pacientes con inmunodeficiencias tanto congénitas como adquiridas, o estar recibiendo tratamiento con salicilatos.
Bibliográfia:
- Golpe Gómez R, García Aranguena L, García Pérez MM, de la Roza Fernández CO, Fernández Rozas SM, et al. Varicella pneumonia in the previously healthy adult. An Med Interna. 1999;16(2)83-6.
- Paytubi C, Negredo E, Ferrer S, Monmany J, Barrio JL. Varicella pneumonia in the adult. Study of 9 cases. An Med Interna. 2001;18(6):312-6.
- Feldman S. Varicella-Zoster virus pneumonitis. Chest. 1994;106:22S-7S.
- Weber DM, Pelleccha JA. Varicella pneumonia: study of prevalence in adult men. JAMA. 1965;192:572-3.
- Troya García J, Espinosa de los Monteros Garde MJ, Moreno B. Neumonía por varicela en población adulta: revisión de 21 casos. Rev Clin Esp. 2006;206(11):566-9.
- Clark GP, Dobson PM, Ticket A, Turner NM. Chickenpox pneumonia, its complications and management. Anestesia. 1991;46:376-80.
- Davidson RN, Lynn W, Savage P, Wansbrough J. Chickenpox pneumonia: experience with antiviral treatment. Thorax. 1998;43:627-30.
- Rodríguez Borregán JC, Domínguez Artiga MJ, Miñambres E, Tejerina Álvarez E, Holanda Pena MS, González Fernández C, et al. Neumonía varicelosa en adultos: 30 casos. An Med Interna. 2003;20(12):14-20.
- Pérez Llorens JC, Crusells Canales MJ, Araiz Burdiu JJ, Letona Carbajo S, Milastre Benito A, Cuesta Muñoz J. Síndrome de distrés respiratorio del adulto secundario a neumonía varicelosa en varón inmunocompetente. Ann Med Intern. 1994;4:189-91.
- Mer M, Richards GA. Corticosteroids in life-threatening varicella pneumonia. Chest. 1998;114:426 31.
- Adhami N, Arabi Y, Raees A, Al-Shimemeri A, Ur-Rahman M, Memish ZA. Effect of corticosteroids on adult varicella pneumonia: cohort study and literature review. Respirology. 2006 Jul 1;11(4):437-41.
- Marin M, Güris D, Chaves SS, Schmid S, Seward JF; Advisory Committee on Immunization Practices, Centers for Disease Control and Prevention (CDC). Prevention of varicella: recommendations of the Advisory Committee on Immunization Practices (ACIP). MMWR Recomm Rep. 2007 Jun 22;56(RR-4):1-40. [Resumen][Texto Completo]
